iPSC Generation Services
- Service Details
- Case Studies
- Features
- FAQ

Induced pluripotent stem cell (iPSC) generation is a complex process that reprograms differentiated somatic cells into a pluripotent state similar to embryonic stem cells. Successful reprogramming requires careful vector selection and stringent validation to ensure genomic integrity, stable karyotype, and sustained pluripotency.
At Creative Bioarray, our iPSC Generation Services are enabled by our robust stem cell platform with several integration-free technologies such as Sendai virus, episomal plasmid and mRNA-based technologies. To ensure optimal results, we customize our reprogramming methods based on the initial cell type and the ultimate application, paying close attention to vector persistence and potential genomic effects
Rigorous quality control and standardized processes enable the production of well-defined, stable, and pluripotent iPSC lines, perfect for gene editing and related applications.
Our iPSC Reprogramming Service
Our iPSC Generation Services follow a standardized yet customizable workflow, covering sample qualification, reprogramming induction, clonal expansion, and comprehensive quality validation. The entire process is performed within our dedicated stem cell platform to ensure consistency, traceability, and high reproducibility.

Sample Types
We support multiple primary cell sources to maximize project flexibility:
Supported Starting Materials
- Human: PBMCs, fibroblast, HSC, MSCs, CD34+ cord blood, urine, and more
- Non-human: PBMC and fibroblast
After sample receipt, cells undergo viability and sterility assessment.
Samples required: 2-3 vials, 106 cells/vial
Our iPSC Reprogramming Technologies
We provide multiple integration-free iPSC generation options to meet diverse research and translational needs.
Sendai Virus Reprogramming (Non-Integrating, High Efficiency)
A widely adopted Sendai virus reprogramming service offering high efficiency and robust colony formation. The RNA-based viral system does not integrate into the genome and is gradually cleared during passaging. Ideal for disease modeling and drug discovery applications.
Episomal Plasmid Reprogramming (Footprint-Free Strategy)
A non-viral, plasmid-based approach that enables completely footprint-free iPSC generation. Suitable for long-term research where genomic integrity is critical.
mRNA-Based Reprogramming (Clinical-Oriented Approach)
A virus-free and fully integration-free strategy using synthetic modified mRNA. This method offers a high safety profile and compatibility with GMP iPSC production programs.
Comprehensive Quality Control (QC) and Validation
Comprehensive quality control and characterization can be performed based on project requirements. Available testing options include, but are not limited to:
- Mycoplasma Testing
- AP Staining
- ICC/FACS for Pluripotency Markers
- G-Band Karyotype
- RT-qPCR for Endogenous Pluripotency gene expression
- hPSC Scorecard Assay
Deliverables:
- Standard: 1 clone (2 vials, 10⁶ cells/vial); additional clones available upon request.
- Project report
Case Studies
Using our integration-free iPSC generation platform, we successfully reprogrammed human PBMCs (male donor) into high-quality induced pluripotent stem cells. The generated iPSC line was comprehensively characterized, demonstrating robust pluripotency, genomic stability, and sterility, consistent with our standardized and reproducible workflow.
Cell Morphology
Typical ESC-like colony morphology observed in generated iPSCs.
Pluripotency Markers
Positive expression of OCT4, SOX2, NANOG, and SSEA4 confirms pluripotent identity.
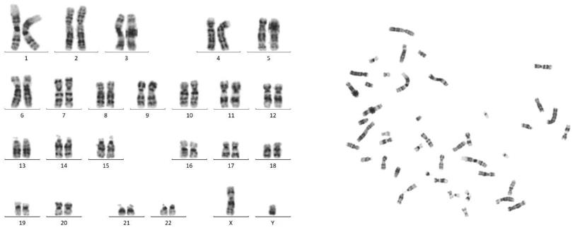
Karyotype Analysis
Normal chromosomal profile (46, XY) with no detectable abnormalities.
Alkaline Phosphatase Staining
Strong AP activity (>90% positive), indicating robust pluripotency.
Sterility Testing
Mycoplasma, bacteria, and fungi all tested negative.
Beyond iPSC generation, our platform is also equipped to transition your samples into downstream applications to quickly move from reprogramming to your desired workflow. Our iPSCs can be used for directed differentiation into lineage-specific cell types, genome editing, disease modeling, organoid formation, high throughput screening (HTS) and more.
Why Choose Our iPSC Generation Platform?
Our value proposition combines scientific rigor with operational reliability.
>98% Reprogramming Success Rate
Optimized protocols and experienced technical teams ensure high-efficiency induction of pluripotency.
Integration-Free Options
Multiple non-integrating technologies support genomic integrity and regulatory compatibility.
Broad Cell Source Compatibility
We accept diverse primary cell types, including cryopreserved samples, enabling flexible project design.
Highly Customized Experimental Design
Protocols, QC depth, and documentation are tailored to specific research or translational needs.
Stable and Reproducible Platform
Standardized SOPs and controlled culture conditions ensure batch-to-batch consistency.
Extensive Cell Line & Model Experience
Our accumulated experience across disease areas accelerates project execution and troubleshooting.
FAQ
What is the typical turnaround time?
Typically, 8-12 weeks. This can vary depending on the cell/sample type, reprogramming method, and desired quality control tests.
What cell types can be used for iPSC Reprogramming?
We accept fibroblast, peripheral blood mononuclear cells (PBMCs), urine-derived cells, epithelial and more.
Can you perform gene editing or differentiation on the generated iPSCs?
Yes! We offer our iPSC generation service in conjunction with downstream services such as genome editing and directed differentiation into functional cell types.
Are iPSCs suitable for disease modeling and organoid development?
Absolutely! iPSC lines can be used to generate both 2D and 3D disease models including organoid formation for mechanism studies, toxicity testing, and drug discovery.
Request a Consultation
Discuss your project with our stem cell specialists and receive a customized iPSC generation strategy tailored to your research goals.
Start Your Project
- Request a customized experimental plan
- Discuss technical details with our scientists
- Submit your sample information
Not sure if this fits your project?
Send us a brief description and we'll advise you for free.
Reference
- Singh VK, et al. Induced pluripotent stem cells: applications in regenerative medicine, disease modeling, and drug discovery. Front Cell Dev Biol. 2015. 2;3:2.
Explore Other Options