J774.1
Cat.No.: CSC-C6884J
Species: Mus musculus (Mouse)
Source: Ascites
Morphology: Lymphocyte-Like
- Specification
- Background
- Scientific Data
- Q & A
- Customer Review
J774.1 is a mouse (murine) macrophage-like cell line established from a reticulum cell sarcoma of BALB/c mouse. J774.1 cells are subcloned cells from parental J774 line that have been characterized to grow as a stable line while retaining phenotypic characteristics and functions of activated macrophages. Therefore, they have been used extensively as in vitro macrophage model system to study immunological functions and inflammation.
In terms of morphology, J774.1 cells are adherent, round-to polygonal-shaped cells capable of spreading and phagocytosis. Upon activation with lipopolysaccharide (LPS) or interferon-γ (IFN-γ), J774.1 cells can produce pro-inflammatory mediators such as nitric oxide (NO), tumor necrosis factor-α (TNF-α), interleukins and reactive oxygen species (ROS). These cells also express macrophage markers and perform well-established macrophage functions, such as Fc receptor-mediated phagocytosis and antigen processing. Thus, J774.1 cells have been used in studies involving host-pathogen interactions, innate immune response and signaling. J774.1 cells are used to study macrophage polarization (M1/M2), inflammatory signaling (NF-κB and MAPK), cytokine production, and innate immune mechanisms. Due to their strong phagocytic activity, they are also utilized in models for atherosclerosis studies, metabolic inflammation, tumor-associated macrophages and nanomaterial/drug uptake.
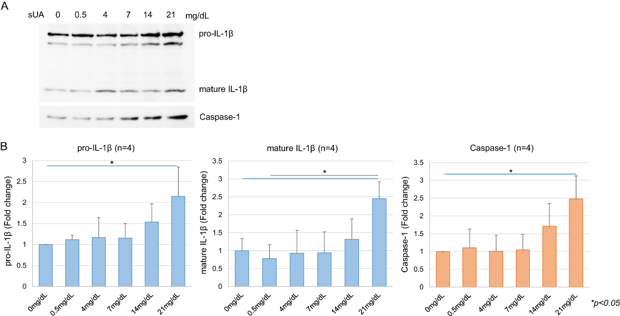
Extracellular application of soluble UA enhanced production of pro-IL-1β, mature IL-1β and caspase-1 in LPS-primed and MSU-stimulated J774.1 cells
Soluble uric acid (UA) passes through UA transporters (UATs) into cells and activates the NLRP3 inflammasome, leading to increased secretion of IL-1β. ABCG2 exports UA into the extracellular space. It has been unclear if inhibiting ABCG2 activity increases cellular UA accumulation and production of IL-1β. Notsu et al. studied the effects of genetic and pharmacologic inhibition of ABCG2 on IL-1β production by macrophages under hyperuricemic conditions.
They had previously demonstrated that monosodium urate (MSU) crystal activates NLRP3 inflammasome in LPS-primed J774.1 cells to produce IL-1β and caspase-1. Treatment with MSU increased mature IL-1β (p17), caspase-1 (p20), and pro-IL-1β protein levels in LPS-primed cells. These data suggested MSU activated NLRP3 and increased transcription of pro-IL-1β. Treatment with soluble UA did not increase mature IL-1β, caspase-1, or pro-IL-1β protein levels in unprimed cells or LPS primed cells not stimulated with MSU. To study the effect of soluble UA on NLRP3 activity and IL-1β production, J774.1 cells were pretreated with UA (0-21 mg/dL) for 12h prior to stimulation with LPS and MSU. Western blot analysis revealed pretreatment with UA ≥14 mg/dL significantly increased pro-IL-1β, mature IL-1β, and caspase-1 in a concentration-dependent manner (Fig. 1A). Quantification of western blot data from 4 independent experiments confirmed significant protein expression increases at 21 mg/dL (Fig. 1B). Taken together, these data suggest soluble UA increases production of mature IL-1β by activating NLRP3 inflammasomes and stimulating transcription of pro-IL-1β in LPS-primed macrophages stimulated with MSU.

Ask a Question
Write your own review
- You May Also Need
- Adipose Tissue-Derived Stem Cells
- Human Neurons
- Mouse Probe
- Whole Chromosome Painting Probes
- Hepatic Cells
- Renal Cells
- In Vitro ADME Kits
- Tissue Microarray
- Tissue Blocks
- Tissue Sections
- FFPE Cell Pellet
- Probe
- Centromere Probes
- Telomere Probes
- Satellite Enumeration Probes
- Subtelomere Specific Probes
- Bacterial Probes
- ISH/FISH Probes
- Exosome Isolation Kit
- Human Adult Stem Cells
- Mouse Stem Cells
- iPSCs
- Mouse Embryonic Stem Cells
- iPSC Differentiation Kits
- Mesenchymal Stem Cells
- Immortalized Human Cells
- Immortalized Murine Cells
- Cell Immortalization Kit
- Adipose Cells
- Cardiac Cells
- Dermal Cells
- Epidermal Cells
- Peripheral Blood Mononuclear Cells
- Umbilical Cord Cells
- Monkey Primary Cells
- Mouse Primary Cells
- Breast Tumor Cells
- Colorectal Tumor Cells
- Esophageal Tumor Cells
- Lung Tumor Cells
- Leukemia/Lymphoma/Myeloma Cells
- Ovarian Tumor Cells
- Pancreatic Tumor Cells
- Mouse Tumor Cells