RCH-ACV
Cat.No.: CSC-C0556
Species: Homo sapiens (Human)
Source: Bone Marrow
Morphology: small round cells growing singly or in small clumps in suspension; occasional adherent cells present
Culture Properties: suspension
- Specification
- Background
- Scientific Data
- Q & A
- Customer Review
Immunology: CD3 -, CD13 -, CD19 +, CD37 -, cyCD79a +, CD80 -, CD138 +, HLA-DR +, sm/cyIgG -, smIgM -, cyIgM +, sm/cykappa -, sm/cylambda -
Viruses: PCR: EBV -, HBV -, HCV -, HIV -, HTLV-I/II -, S
The RCH-ACV cell line is a well-established and characterized human B-cell precursor acute lymphoblastic leukemia (BCP-ALL) cell line. It was originally derived from the bone marrow of a child with relapsed BCP-ALL, carrying the chromosomal translocation t(1;19)(q23;p13.3). This translocation results in the formation of the E2A-HLF fusion gene, which is an oncogenic driver of this leukemia and defines its phenotype. The parental leukemic cells from BCP-ALL patients typically inhabit both bone marrow and peripheral blood. Morphologically, RCH-ACV cells have a typical lymphoblastic morphology in culture: small to medium in size, round to slightly irregular in shape, with high nuclear-to-cytoplasmic ratio, condensed chromatin, and scant cytoplasm. They grow in suspension as single cells or loose aggregates, with a moderate proliferation rate and a doubling time of approximately 24-36 hours under standard culture conditions (RPMI-1640 medium + 10% fetal bovine serum).
Functionally, RCH-ACV cells maintain properties of leukemic B-cell precursors, including expression of B-lineage markers (e.g., CD19, CD22) and the E2A-HLF fusion protein, which promotes malignant survival and proliferation. RCH-ACV is commonly used in leukemia research as a model to study E2A-HLF-driven oncogenesis, explore mechanisms of drug resistance in relapsed BCP-ALL, and for drug screening of novel targeted therapies (e.g., inhibitors of E2A-HLF downstream pathways or B-cell survival mechanisms).
Disease-inducing Potential of a Leukemic Cell Line (RCH-ACV) in a Xenografting Model
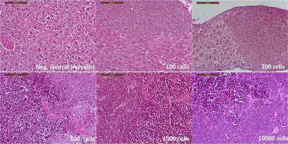
Ovarian failure is common among cancer survivors due to gonadotoxic treatment modalities like chemotherapy and radiotherapy. Ovarian tissue cryopreservation and transplantation is an emerging fertility restoration modality for such patients. However, leukemia patients are at a constant threat of re-introducing malignant cells through transplantation of their cryopreserved ovarian tissues. Manavella et al. studied the tumor-inducing potential of leukemic cell lines RCH-ACV xenografted to immunodeficient mice, in order to estimate the relapse risk after transplantation of ovarian tissues in leukemia patients. 54 female immunodeficient mice were grafted with 100, 200, 500, 1000 or 10,000 RCH-ACV cells, along with human ovarian stromal cells (50,000), embedded in a fibrin scaffold. Mice grafted with 100 RCH-ACV cells showed no signs of disease, while those with 200 cells had peritoneal masses and liver invasion. All mice with 500, 1000, or 10,000 cells developed liver invasion and tumors. Since the extent of macroscopic lesions in RCH-ACV cell line were too large, histological confirmation of liver samples from RCH-ACV grafted mice were taken and processed. Histological slides showed clear leukemic infiltration (Fig.1).

Loss of p53 Impairs Death Receptor Expression and Confers Resistance to CD19 CAR T-Cell Therapy in BCP-ALL
Relapsed B-cell precursor acute lymphoblastic leukemia (BCP-ALL) with TP53 mutations has a poor prognosis. CAR T therapy is approved for relapsed/refractory BCP-ALL, but patients with TP53 mutations show worse outcomes. Cox et al. investigated how p53 loss affects CAR T therapy response and identify potential ways to improve treatment efficacy for both TP53-mutated and wild-type BCP-ALL patients.
To test whether there is a cell-intrinsic resistance to CAR T as a result of p53 loss, they aimed to recapitulate diminished CAR T efficacy in an in vitro killing assay. They combined isogenic TP53WT and TP53Mut fluorescent models of the BCP-ALL cell lines Nalm6 and RCH-ACV in a 1:1 ratio and challenged them with either untransduced or CART19 cells to test for competitive survival. Both cell lines were targeted by CAR T, (Fig. 2A) and for both models, the TP53Mut population showed a survival advantage over the wild-type controls when treated with CART19 cells (Fig. 2B), indicating that CART19 treatment is less effective against TP53Mut BCP-ALL.

Ask a Question
Write your own review
- You May Also Need
- Adipose Tissue-Derived Stem Cells
- Human Neurons
- Mouse Probe
- Whole Chromosome Painting Probes
- Hepatic Cells
- Renal Cells
- In Vitro ADME Kits
- Tissue Microarray
- Tissue Blocks
- Tissue Sections
- FFPE Cell Pellet
- Probe
- Centromere Probes
- Telomere Probes
- Satellite Enumeration Probes
- Subtelomere Specific Probes
- Bacterial Probes
- ISH/FISH Probes
- Exosome Isolation Kit
- Human Adult Stem Cells
- Mouse Stem Cells
- iPSCs
- Mouse Embryonic Stem Cells
- iPSC Differentiation Kits
- Mesenchymal Stem Cells
- Immortalized Human Cells
- Immortalized Murine Cells
- Cell Immortalization Kit
- Adipose Cells
- Cardiac Cells
- Dermal Cells
- Epidermal Cells
- Peripheral Blood Mononuclear Cells
- Umbilical Cord Cells
- Monkey Primary Cells
- Mouse Primary Cells
- Breast Tumor Cells
- Colorectal Tumor Cells
- Esophageal Tumor Cells
- Lung Tumor Cells
- Leukemia/Lymphoma/Myeloma Cells
- Ovarian Tumor Cells
- Pancreatic Tumor Cells
- Mouse Tumor Cells