Hot Products

Feline Mesenchymal Stem Cells

  • Specification
  • Background
  • Scientific Data
  • Q & A
  • Customer Review
Cat.No.
CSC-00810L
Description
Feline Mesenchymal Stem Cells have the potential to maintain multipotency and proliferate extensively in vitro.
Species
Feline
Culture Properties
Adherent
Storage and Shipping
Creative Bioarray ships frozen cells on dry ice. On receipt, immediately transfer frozen cells to liquid nitrogen (-180 °C) until ready for experimental use. Live cell shipment is also available on request.

Never can primary cells be kept at -20 °C.
Citation Guidance
If you use this products in your scientific publication, it should be cited in the publication as: Creative Bioarray cat no. If your paper has been published, please click here to submit the PubMed ID of your paper to get a coupon.

Feline Mesenchymal Stem Cells (fMSCs) are multipotent stromal cells isolated from various tissues in cats, such as bone marrow, adipose tissue, and umbilical cord. These cells exhibit the typical characteristics of mesenchymal stem cells, including plastic adherence, fibroblast-like morphology, and the ability to differentiate into osteogenic, chondrogenic, and adipogenic lineages under appropriate conditions. fMSCs also display immunomodulatory properties and secrete trophic factors that contribute to tissue repair and regeneration.

fMSCs are commonly used in research to study feline stem cell biology, tissue engineering, and regenerative therapies. They have potential applications in veterinary medicine for treating conditions such as osteoarthritis, kidney disease, and inflammatory disorders in cats. fMSCs are also used as a comparative model for human MSC research to understand species-specific differences in stem cell behavior. Additionally, due to their self-renewal capacity and low immunogenicity, fMSCs are being investigated for allogeneic transplantation in veterinary medicine.

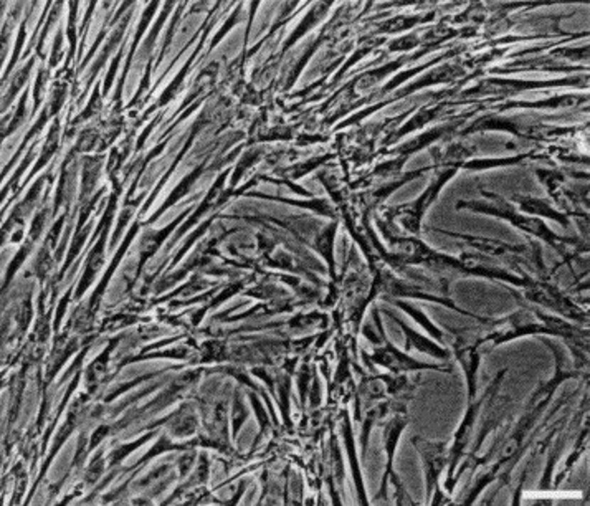
Fig. 1. Morphological characterization of feline bone marrow stromal cells.

Fig. 1. Morphological characterization of feline bone marrow stromal cells (Martin D R, Cox NR, et al., 2002).

FCoV, FHV-1, and FPV Exhibit Sustained Proliferation and Replication within Fad-Mscs

Feline mesenchymal stem cells (fMSCs) have strong differentiation potential and have been widely used in feline immune-related disease studies. However, whether fMSCs are vulnerable to virus infection remains unknown. Ma et al. evaluated the susceptibility of feline adipose-derived (fAD-MSCs) and umbilical cord-derived mesenchymal stem cells (fUC-MSCs) to the common feline virus feline coronavirus (FCoV), feline herpesvirus type 1 (FHV-1), and feline panleukopenia virus (FPV).

FCoV, FPV, and FHV-1 were inoculated in fAD-MSCs and fUC-MSCs, with CRFK and F-81 as controls. FCoV and FHV-1 showed typical cytopathic effects (CPEs) in each cell line. After 48 h postinfection (hpi), the cells were observed under a microscope and presented grape-like changes, and the virus suspension was subjected to freeze‒thaw, filtration, and reinoculation up to the 10th generation with stable CPEs (Fig. 1a). FPV had no significant CPE in fUC-MSCs (Fig. 1b). The titers of the fifth-generation virus suspension were determined by the Reed-Muench method. The strains were named FCoV-YBYJ-2024, FPV-YBYJ-2024, and FHV-1-YBYJ-2024. They used IFA to analyze the FCoV, FHV-1, and FPV staining in fAD-MSCs, fUC-MSCs, CRFK, and F-81. After 48 h, the cells infected with FCoV and FHV-1 showed strong immunofluorescence signals, and cell morphology was well defined in fAD-MSCs, CRFK, and F-81 (Fig. 2a, c). FPV-infected fAD-MSCs, CRFK, and F-81 induced fluorescence, but fUC-MSCs did not, suggesting that FPV could not proliferate in fUC-MSCs (Fig. 2b).

CPEs for FCoV, FHV-1, and FPV on fAD-MSCs, fUC-MSCs, CRFK and F-81 after 48 h.

Fig. 1. CPEs for FCoV, FHV-1, and FPV on fAD-MSCs, fUC-MSCs, CRFK and F-81 after 48 h (Ma H Y, Hao J G, et al., 2024).

Immunofluorescence results for FCoV, FPV, and FHV-1 in fAD-MSCs, fUC-MSCs, CRFK, and F-81 after 48 h.

Fig. 2. Immunofluorescence results for FCoV, FPV, and FHV-1 in fAD-MSCs, fUC-MSCs, CRFK, and F-81 after 48 h (Ma H Y, Hao J G, et al., 2024).

Effect of bFGF on the Proliferation and Morphology of Feline MSC

Fujimoto et al. experiment demonstrated that bFGF could enhance the proliferative potential and change the cell shape of cat adipose-derived MSCs. Cat subcutaneous adipose tissue-derived MSCs were cultured in the presence or absence of bFGF.

Fig. 3 depicts an increase in the number of MSCs and alteration in the cell shape by bFGF. The cells maintained in the absence of bFGF were shown to increase in number with the passage. After a culture period of 5 days, the cells grew in size and transformed into a flat structure. On the other hand, MSCs in the presence of 100 ng/ml bFGF proliferated more and assumed various small elongated or round shapes. In contrast, they had flattened shapes in the absence of bFGF. This shape change in MSCs was maintained for about 4 days, and their shapes partly recovered to those of MSCs without bFGF by day 5 (Fig. 3). Fig. 4 illustrates that the proliferative potential of MSCs was dependent on the concentration of bFGF. The number of MSCs was significantly higher at 100 and 1000 ng/ml bFGF than in the absence of bFGF. However, at 1000 ng/ml bFGF, the growth of MSCs was unstable. It was shown to be retarded initially, and dead cells were present, but it accelerated after 3 days.

Effect of bFGF addition on the proliferation and cell morphology of feline MSC.

Fig. 3. Effect of bFGF addition on the proliferation and cell morphology of feline MSC (Fujimoto Y, Yokozeki T, et al., 2020).

Effect of bFGF concentration on the proliferation of feline MSC 5 days after culture in bFGF concentrations of 0, 10, 100, and 1000 ng/ml.

Fig. 4. Effect of bFGF concentration on the proliferation of feline MSC 5 days after culture in bFGF concentrations of 0, 10, 100, and 1000 ng/ml (Fujimoto Y, Yokozeki T, et al., 2020).

Ask a Question

Write your own review

For research use only. Not for any other purpose.